輸入關鍵字後按搜尋按鈕

【記者葉柏成/新北報導】騎車自摔千萬別以為只是「皮肉傷」。41歲廖先生日前騎車上班途中不慎自摔撞上電線桿,被緊急送往衛生福利部臺北醫院急診。到院時雖意識清楚,但血壓偏低、心跳過快。急診醫師警覺可能有嚴重內傷,安排電腦斷層檢查後發現,不僅多處肋骨骨折,胸主動脈還出現「包覆性破裂」,情況宛如體內藏了一顆隨時可能引爆的炸彈。
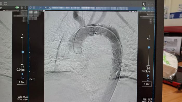
院方緊急會診心臟血管外科醫師孟繁傑,評估後立即施行「胸主動脈腔內血管支架置放手術」,僅在腹股溝處開出不到1公分的小傷口,將支架透過導管送入主動脈破裂處封堵出血點,成功解除致命危機。廖先生術後恢復順利,目前已平安出院。
孟繁傑指出,胸主動脈創傷是極為兇險的急症,多見於車禍、高處墜落或嚴重撞擊等胸部鈍挫傷。根據國際文獻統計,高達八成患者在送醫前就已死亡;即使順利送到醫院,仍有約46%病人可能因傷勢過重而喪命,因此能否及時診斷與治療,是攸關生死的關鍵。

他說明,「廖先生受傷的位置位於主動脈弓與降主動脈交界處的峽部(isthmus)。」,這裡是胸部外傷最常見的主動脈破裂位置,因為主動脈在此處轉彎固定,當胸部受到強烈撞擊時,產生的剪力容易造成血管撕裂,形成假性動脈瘤。如果沒有及時發現,一旦包覆性破裂轉為完全破裂並引發大出血,存活機率幾乎為零。
過去治療此類重症,多須進行傳統側身開胸手術,手術傷口可長達30至40公分,且術中需使用高劑量抗凝血劑。對於同時合併多重外傷的患者而言,容易導致其他部位出血,手術風險相當高。

孟繁傑表示,近年來,主動脈腔內血管支架置放手術逐漸成為主流治療方式。醫師只需從腹股溝股動脈置入導管,將金屬支架精準送到破裂位置撐開血管並封住破口,不僅傷口小、手術時間短,也能降低出血與併發症風險。目前此項治療方式已被美國血管外科學會列為主要治療建議,台灣健保也已納入給付,讓患者能以較低負擔接受先進治療。
此外,國內近期也引進新型一體成型的胸主動脈分支支架,並已獲美國食品藥物管理局(FDA)核准臨床使用。該支架具有內建分支設計,可同時維持主動脈弓分支血管的血流,特別適用於破口靠近左鎖骨下動脈等複雜位置的病例。

孟繁傑說明,過去若破裂點接近分支血管,除了置放主動脈支架外,還可能需要人工血管繞道手術,或進行血管內「煙囪支架」技術,以維持分支血管供血。新型分支支架問世後,可一次完成治療,降低支架內滲漏風險,也避免額外手術傷口,進一步縮短手術時間並減少術後疼痛與併發症。
他提醒,車禍、自摔或高處墜落後,民眾常只注意外表傷口,但胸部撞擊可能隱藏致命內傷,包括心臟或主動脈損傷等。若在事故後出現胸痛、呼吸困難、心跳加快或血壓異常等症狀,務必立即就醫檢查,才能把握搶救生命的黃金時間。
記者賴榮偉/花蓮報導 走過震後及洪災挑戰,花蓮觀光產業邁出重要轉型一步!由花蓮縣政府、台北中正扶輪社及吳若石神父全人發展協會共同推動的「FJM足部反射健康師培訓計畫」今(11/22日舉行隆重的結訓暨授證儀式,由吳若石神父及何靜宜社長親自頒發證書。首家導入FJM服務的星晟棧渡假飯店也到場支持,正式將花蓮觀光帶入療癒之都的實踐階段。 吳若石神父致詞表示,希望大家運用反射健康法為家人朋友及需要的民眾減少苦痛 、減少醫療費用並更加健康;台北中正扶輪社社長何靜宜致詞哽咽表示對於大家奮力的練習、努力完成訓練感到相當感動,扶輪社也將持續本於服務精神,繼續支持培訓計畫。 觀光處處長余明勲表示,特別感謝台北中正扶輪社社長何靜宜在計畫經費上的協助。這項計畫的核心意義,就是將災難衝擊轉化為人才資產。首批健康師自8月30日開訓以來,歷經近三個月的專業洗禮,讓失業的服務業者,成功轉型為具備國際認證的專業健康師。他強調,面對花蓮近期觀光的種種挑戰,我們必須創造無可取代的服務專利。以此次與星晟棧的合作啟動為開端,發展花蓮的療癒產業。 星晟棧渡假飯店協理吳孟庭表示,星晟棧位於花蓮這片療癒之土,致力於為旅客注入活水般的健康能量,吳志男董事長更親自加入此次培訓學習。飯店不僅提供健康飲食,更將服務從生活養生提升至照護層面,導入FJM健康師服務,讓旅客在無憂無慮的環境中享受全面性的健康體驗,開啟養生之旅的新篇章。 這批FJM健康師具備高度專業性。每位健康師皆通過嚴謹訓練,精通基礎反射區及標準化操作手法,並具備針對身體常見不適進行緩解應用的專業能力,確保提供國際認證等級的服務品質。FJM反射健康法手法簡單、安全、具實證效益,能夠解決旅客「安全感」與「深度放鬆」兩大核心需求。 這項合作同時為在地社區和旅宿業帶來雙贏的永續契機。透過與FJM健康師合作,旅宿業者不僅能豐富服務內容,在市場上建立獨特的療癒標籤,同時也為在地培訓出的健康師提供了穩定的工作機會與發展空間。這是一場「受惠者成為服務者」的動人循環,讓旅宿業的消費行為直接轉化為對花蓮社區的溫暖支持。 觀光處處長余明勲誠摯感謝所有參與培訓的學員、吳若石神父全人發展協會及台北中正扶輪社的支持。縣府將與扶輪社持續推動FJM理念,鼓勵更多旅宿業者加入後續的合作梯次,共同迎接花蓮觀光業浴火重生的新里程碑。相關培訓及合作資訊請見花蓮觀光資訊網最新消息(https://gov.tw/sAh)或花蓮AI旅遊小助理(https://hualien.travel/ai-service)。
波新聞─翁順利/台南台南市政府觀光旅遊局新版「臺南奇人帶路」系列報導,推出有食物魔法師美譽的阿美族丮硠‧瑪那(Kilang‧Manah),介紹他運用擅長的推廣傳統製麴釀造工法,傳承原住民飲食文化智慧,也創新應用於現代餐飲。台南市於2012年設立「原住民族部落大學」(札哈木部落大學),開辦豐富多元的課程,觀光旅遊局林國華局長表示,丮硠‧瑪那原本教授傳統樂舞及阿美族語,近年改以生活化課程結合語言,教授製麴、醃漬,呈現原住民如何從自然中汲取靈感,為飲食增添風味,等於在廚房用族語說故事。丮硠‧瑪那講授的〈Vayi (阿嬤)製麴室的祕密〉,教導原住民傳統釀造工法,結合理論與實作,已連續6年獲評薦優等,相當熱門,所以列為台南其人帶路的新人選。阿美族以野菜文化聞名,食用的野菜逾兩百種,丮硠‧瑪那帶領學員採集黃荊、刺蔥、馬告、月桃、紫蘇、土肉桂、野薑花等本土植物,運用在料理、釀酒,與環境共存。丮硠‧瑪那說,他來自花蓮縣吉安鄉娜荳蘭部落,族人經常用麴醃漬、保存食物,他從小幫忙媽媽整理瓶瓶罐罐,學會發酵的技巧與知識。來到台南工作後,不習慣全糖城市的甜,而嘗試用米麴做出記憶中部落的味道,撫慰鄉愁。2007年開始,他進入社團和學校教族語,整理飲食文化,開課教野菜保存、釀酒等,發酵沒有比例公式,全靠眼到、手到、口到,讓學生親手觸摸、聞嘗,如今甚至有人遠從臺東、花蓮來上課。 他表示,台南有愈來愈多的原民餐廳用味道傳達文化,例如永康區的聚會所、中西區的 Mismudu 以及安南區的木漢堡等,各具特色。未來他希望能在古蹟林立的府城推廣慢食文化,建立屬於阿美族的文化釀造工作坊,幫助更多年輕人學習族語、了解植物、掌握釀造技術,找到生活與職涯的可能。
圖:基隆市政府社會處提供 報新聞/編輯部 基隆市政府社會處於八斗子槌球場舉辦「長青盃秋季槌球錦標賽」,今年邁入第14屆,共有14支球隊、超過百名長青選手參賽,參賽者總年齡合計逾千歲。活動由基隆市歷屆社區理事長社會服務協進會號召,現場氣氛熱烈,長者們以球會友,展現活力老化、運動抗老的精神。 社會處處長楊玉欣表示,槌球結合高爾夫與撞球特性,兼具技巧與戰術思考,是一項促進長者身心健康的運動。透過握桿、推擊與戰術判斷,不僅可訓練五感協調與思維能力,更能在團隊合作中建立友誼、增進社會參與。她肯定長輩們以熱情與毅力投入槌球運動,展現成功迎老的風範。 圖:基隆市政府社會處提供 為確保比賽公平與專業,市府特別邀請中華民國槌球協會甲級裁判林正義擔任裁判長。14支球隊進行長達7小時的循環賽,各隊發揮團隊默契、擬定戰術,選手們在場上沉著穩定、鬥志高昂,每一次擊球都凝聚團隊精神與比賽熱情。 楊玉欣強調,市府持續推動多元樂齡運動,鼓勵長者走出戶外、參與社區活動。她也感謝各界對槌球運動的支持,期盼透過此類賽事,讓長輩在友誼與競賽中保持健康、快樂生活,展現基隆長青族群的活力風貌。 Please enable JavaScript to view the comments powered by Disqus.
意大利巴勒莫2025年12月11日 /美通社/ — 在地中海溫暖的陽光下,意大利西西里島的海風與陽光,迎來了一場智慧能源變革。 晶澳科技為當地一家現代化水產養殖基地打造的「光伏+儲能」一體化項目成功並網,已成為該地區工商業儲能領域備受關注的示範項目。該項目不僅是晶澳儲能技術實力的集中展現,更是「光儲+X」解決方案在全球市場成功落地的生動實踐,標誌著中國儲能系統解決方案正以場景化創新,積極助力全球能源轉型。 「光儲+漁業」項目全景:生於需求,成於智慧 無數海島企業面臨共同困境:電網擴容成本高企,傳統能源價格持續攀升,而豐富的太陽能資源卻因缺乏儲能設施而無法高效利用。 晶澳的這一項目並非簡單的設備出口,而是基於客戶實際痛點的定制化能源解決方案。針對客戶需求,晶澳構建了以「最大化光伏自消納」為核心,兼具「應急備份」和「電費管理」功能的智慧微能源網。這不僅是一儲能系統,更是一個能夠自我調節、智能響應的微電網生態系統。 海島能源新範式:智能協同,高效可靠 該項目集成了3.2MW已並網光伏與2MW新建光伏,搭配2.61MWh儲能系統,形成了動態可擴展的能源架構。 作為典型的工商業儲能應用,系統通過智能協調「光–儲–荷」運行,最大化提升光伏自消納能力,有效緩解海島地區電網容量限制問題。即使在電網異常時,系統也能快速切換為應急備用電源,保障養殖基地關鍵負荷不間斷運行。 此外,該儲能項目採用了「主從控制」與「站級EMS」相結合的雙重調控架構。本地控制器確保單元級的高效穩定運行,而能源管理系統(EMS)則統攬全局,實現策略優化和智能調度。 本項目還深度融合了意大利本土的能源管理系統(EMS),構建起一個集光伏、儲能與負載於一體的站級智慧能源平台。通過這一合作,我們不僅確保了系統對本地電網和資源條件的高度適應性,更以精準的智能調度賦能客戶,優化其數字化能源體驗。 極致安全設計:JAPIanet系統構建全方位防護體系 面對海島特有的高溫、高濕、高鹽腐蝕環境,晶澳JAPIanet 125kW/261kWh工商業儲能產品展現出卓越的環境適應性,其多維安全防護體系包括: 電氣安全:實時絕緣監測與智能預警,能在潛在絕緣故障發生前的毫秒級時間內啟動防護,從源頭杜絕風險。 消防安全:建立了「電芯-Pack-櫃體」三級智能消防系統。特別是Pack級別的精準探測與氣溶膠滅火裝置的聯動,能在熱失控發生初期迅速抑制,其防爆設計確保了即使發生極端情況,也能將影響控制在最小範圍。 環境適應性:直面海島高溫、高濕、高鹽霧的「三高」考驗,我們通過定制化設計,為工商業儲能產品打造了獨特的「硬核體質」。卓越的環境耐受性,使其無懼氣候挑戰,確保持久穩定的全天候運行。 以客戶為中心:從交付產品到創造價值 作為晶澳儲能全球化戰略的重要落子,西西里項目享受著晶澳完善的全球服務體系。 從中國內蒙古的60MW/120MWh戈壁電站,到揚州零碳園區項目,再到意大利的工商業項目,晶澳已形成了覆蓋電源側、電網側、用戶側的全場景解決方案與全球售後服務能力。 西西里項目的成功實踐,生動詮釋了晶澳「光儲+X」模式的創新價值:客戶獲得的不再僅是儲能設備本身,而是一套深度融合當地漁業場景、系統性解決能源安全、成本與穩定性挑戰的定制化智慧能源服務。 隨著全球能源轉型深化,晶澳在本項目中展現的智能管理與靈活調度能力,為未來參與全球電力市場、構建光儲新生態奠定了堅實基礎。「光儲+漁業」的實踐印證了智慧能源的真諦 — 不在於技術堆疊,而在於與產業生態的深度融合,切實解決用戶在成本、安全與穩定性方面的核心訴求。未來,晶澳將繼續以科技為基、以場景為徑,推動「光儲+X」模式在全球更多領域落地,讓清潔能源智慧融入千行萬業,共創可持續未來。 關於晶澳儲能 晶澳成立於2005年,是全球領先的高性能光伏產品製造商及光儲一體化解決方案提供商。憑借在光伏領域的技術創新與產業優勢,晶澳科技深化「光儲融合」戰略,依托高效系統集成能力和全球服務網絡,在儲能領域全面佈局,提供覆蓋大型電站、工商業及戶用場景的解決方案,憑借更高的安全性、更優的效率和智能設計,助力提升新能源消納和電網靈活性,推動全球能源轉型與可持續發展。 更多信息,請訪問www.jasolar.com/ess/cn。
波新聞─范世安/新竹縣 2026年新竹縣議員選戰逐步升溫,湖口鄉近日出現多面街頭看板,正式向湖口鄉民眾宣告長期深耕地方的中小企業家、公益行動者楊勝馭,投入新一屆縣議員選舉,向鄉親爭取更多為湖口服務的機會。 楊勝馭出身基層,早年來到湖口創業,憑藉踏實經營與不怕吃苦的精神,在競爭激烈的環境中站穩腳步。他常說,自己是「做工的人」,最懂勞動者與家庭在生活上的壓力,也因此長期投身公益行動,將事業成果回饋地方。 多年來,楊勝馭持續協助湖口各級學校教育基金、弱勢學童課後輔導經費,並關懷困苦家庭,透過實際行動與適時就業轉介,幫助不少家庭度過難關,在地方累積深厚口碑。 他表示,湖口雖是全台人口最多的鄉,但在教育資源、社會照顧與生活品質上,仍有很大的進步空間。「正因為看見更多需要被照顧的角落,才決定站出來參選。」楊勝馭強調,參選不是為了頭銜與位置,而是希望把多年累積的行動力,轉化為制度性的服務與改變,希望能與鄉親一起讓湖口更好更幸福。 隨著看板豎立,楊勝馭以「用心做工、用情愛湖口」作為核心訴求,正式宣告投入選戰,也為湖口地方政治注入一股來自基層、務實行動派的新力量。
圖:木紋鋁大師提供。 【記者張嘉誠/綜合報導】 在台灣長年面臨高溫、潮濕與颱風頻繁的環境條件下,建築外構材料的選擇逐漸從「外觀導向」轉為「性能與耐久並重」。其中,兼顧採光與降溫效果的「透明採光隔熱罩」,以及具備結構強度的金屬建材,正成為住宅與商業空間規劃中的重要關鍵。 成立於2016年的木紋鋁大師,背後依託超過30年精密加工經驗的技術基礎,結合金屬工藝與現代建材研發,逐步在中部建材市場建立差異化定位。業者指出,品牌創立初衷來自對台灣氣候條件的觀察——傳統木作雖具溫潤質感,但在潮濕與強風環境下,容易出現腐蝕與維護問題;而一般鋁材雖耐用,卻缺乏生活美感。因此,如何在「耐候性」與「視覺質感」之間取得平衡,成為產品開發的核心。 從材料進化出發 打造兼具美感與結構的建材系統 木紋鋁大師以「木紋鋁」為核心,透過高階真空轉印技術,讓鋁合金表面呈現接近實木的紋理與色澤,同時保留金屬本身的耐候與抗變形特性。相較傳統木作需定期保養與防蟲處理,木紋鋁在長期使用下更具穩定性,也降低後續維護成本。在產品應用上,團隊進一步將材料延伸至「透明採光隔熱罩」、採光罩與玻璃屋等結構系統,透過模組化設計與整體規劃,讓建材不只是單一產品,而是一套可整合的空間解決方案。 圖:木紋鋁大師提供。 專利結構設計 回應極端氣候下的安全需求 面對台灣颱風與強降雨環境,木紋鋁大師在結構設計上導入多項專利技術,特別針對抗風壓與防漏水問題進行強化。業者表示,傳統採光罩常見的結構鬆動或接縫滲水,多半來自設計與施工精度不足,因此團隊在設計階段即納入結構計算,並透過精密加工降低誤差,提升整體穩定性。以實際案例來看,曾有位於強風區的頂樓玻璃屋因颱風受損,經重新規劃並採用專利抗風工法施作後,不僅外觀重新優化,在後續極端天候中亦維持穩定結構,成為品牌在結構安全上的具體驗證。 隔熱性能提升 透明採光與降溫效果並行 除了結構安全外,「透明採光隔熱罩」的另一核心價值,在於其隔熱性能。木紋鋁大師所採用的高耐候隔熱板,可有效降低日照熱能進入室內空間,改善傳統採光罩「有光但過熱」的問題。透過材質選擇與結構設計的整合,使空間在保有自然採光的同時,也能維持較為舒適的溫度條件。業者指出,這類產品特別適用於頂樓加蓋、露台空間及商業外部遮蔽設施,在兼顧採光、通風與節能需求下,逐漸成為建築規劃的重要選項。 圖:木紋鋁大師提供。 精密加工與一站式服務 提升整體施工品質 不同於傳統鐵工以現場加工為主的模式,木紋鋁大師依託精密加工背景,將多數結構元件於工廠端完成製作,再進行現場組裝,確保尺寸精度與施工效率。這樣的流程不僅縮短工期,也降低因現場誤差導致的品質不穩定風險。此外,團隊提供從前期規劃、結構計算到安裝施工的一站式服務,讓業主在溝通與執行上能有單一窗口,減少多方協調帶來的不確定性。 從中部出發 延伸全台高品質建材需求 目前木紋鋁大師以桃園至台南為主要服務據點,並逐步拓展至全台市場。服務對象涵蓋重視生活質感的住宅客戶、建築師與室內設計師,以及需進行外觀優化與結構補強的商業空間與公共工程。隨著建築市場逐漸重視耐候性、節能與長期使用價值,「透明採光隔熱罩」與金屬系統建材的整合應用,正成為未來發展的重要方向。如何在安全、美感與性能之間取得平衡,也將是建材產業持續深化的關鍵。 木紋鋁大師 聯絡電話:0988-587871(賴先生) 地址:彰化縣埔心鄉太平路75巷29-2號 Facebook:https://www.facebook.com/muwenlumaster
【記者張可芙/綜合報導】 【後室】相關圖片_本片推出全球首創「裸視3D後室沉浸式體驗」,預計搶先在5月1日限時一天在台北捷運登場 轟動全球、超過2.7億瀏覽的爆紅網路都市傳說《後室》(Backrooms),將由「金獎製造機」A24攜手原始短片創作者凱恩帕森斯(Kane Parsons)共同搬上大銀幕,台灣並將在5月27日(週三)搶先美國震撼獻映!年僅20歲的凱恩帕森斯,以天才導演之姿首度執導長片。上週末他出席墨西哥CCXP動漫展,暢聊本片製作過程,並分享如何從既有的短片世界觀中,進一步深入角色刻劃,並確保能維持設定的一致性。為了重現詭譎不安的氛圍,劇組特別打造超過三萬平方英尺的「實體後室」進行拍攝,花費大量時間來回調整,甚至為了找到正確的壁紙色彩,作了多達50種測試,才在最後完成符合想像的後室空間。龐大規模與錯綜複雜的配置,就連工作人員都常在拍攝現場迷路,讓人直呼「真的掉入後室!」值得一提的是,台灣發行商也在今日(4/29)正式宣布,將於台北交通樞紐發起一系列規模空前的宣傳活動,並將以虛實感官侵入形式,推出全球首創的「裸視3D後室沉浸式體驗」,預計搶先在5月1日限時一天,作為搶先體驗版本,後續將視民眾反應規劃為常設展出。不僅如此,之後也將透過無限延伸的黃色壁紙包圍中山站廊道,打造後室迷不容錯過的打卡聖地。 【後室】劇照_本片打造超過三萬平方英尺的「實體後室」進行拍攝 測試50次只為詭異黃色牆 《後室》場景逼瘋劇組:真的走不出去 全球拭目以待的年度驚悚話題懼作《後室》,由年僅20歲的原始短片創作者凱恩帕森斯親自執導。他在上週末出席墨西哥CCXP動漫展,首度以電影導演身分暢談製作過程,並分享以既有短片世界觀為出發點,進一步深入角色描繪:「這次採取更具體的敘事方式,透過這些特定角色的視角來看待整個故事。這些人各自過著被切割與孤獨的生活,片中很少會有同時出現超過一到兩個角色的時刻,是一部相當孤獨的電影。」他也同時確保能維持原先設定的一致性,並自豪表示:「我一直很反對任何重新設定、新的時間線,或是破壞一致性的做法,但我可以很高興地說,相較我之前的《後室》創作,雖然這部電影在製作速度下,要維持原本的設定其實有其難度,但最終結果是所有連貫性都得以成立。」 為了重現令人不安的氛圍,劇組特別搭建超過三萬平方英尺的「實體後室」進行拍攝,並由導演凱恩帕森斯設計空間概念,再由美術部門接續細微優化,全體花費大量時間來回調整,讓連續走廊、重複空間、過渡區域都逐漸成形,甚至做了50種壁紙測試,只為找到完美又詭異的黃色調。當最終場景完成時,就連導演本人都驚呼:「這大概是這個電影項目最奇怪、也最震撼的時刻之一,用『超現實』其實都還不足以形容,那種感覺就像是你真的身處其中,非常詭異!」龐大規模與錯綜複雜的配置,就連工作人員都經常在拍攝現場迷路,直呼「彷彿真的掉入後室!」 【後室】工作照_本片由20歲天才導演凱恩帕森斯(左)執導,右為男主角奇維托艾吉佛 《後室》裸視3D沉浸體驗北捷限時登場 中山廊道打造奇異空間 值得一提的是,台灣發行商也在今日(4/29)正式宣布,將於台北交通樞紐發起一系列規模空前的《後室》宣傳活動,帶來一場虛實整合的感官入侵體驗,打造《後室》迷不容錯過的打卡聖地。5月1日將呈現震撼首發,於捷運台北車站驚喜亮相全球首創的「裸視3D後室沉浸式體驗」,營造民眾在日常熟悉轉角,誤入未知異度空間的氛圍,並體驗「後室空間向下沉」的錯覺,體驗限時一天作為搶先版本,後續將視民眾反應規劃為常設展出。緊接著,將從5月8日起一個月,在連接中山站至雙連站的標誌性廊道,以22面巨型後室壁紙包圍,創造無限延伸、無法逃離的孤寂感。這兩個重要據點,也將設置特製QR碼互動入口,讓恐懼感延伸至民眾的手機當中。發行商特別為此剪輯專屬預告與體驗網頁,只要拿起手機掃描現場QR碼,就能立即感受《後室》的驚悚壓迫。 這部由《怪奇物語》(Stranger Things)製作團隊,聯手「恐怖名導」溫子仁(James Wan)共同打造的驚悚強檔《後室》,即將在5月27日(週三)搶先美國震撼獻映。本片劇情描述一個深夜,一間家具展示行內,電視忽然閃過詭異畫面。緊接著,地下室燈光開始閃爍,牆面無預警出現一扇詭異的門,門的背後,竟是一個從未存在過的空間。陰暗黃光壟罩、空氣潮濕封閉,錯綜複雜的格局不斷延伸。這裡沒有出口,也沒有盡頭,彷彿墜入一座無限擴張的異度迷宮…。
圖:賴遊情報站,是玩家值得信賴的娛樂夥伴。(圖/賴遊情報站提供) 【記者張嘉誠/綜合報導】 隨著 2026 年線上娛樂產業的快速擴張,玩家在面對五花八門的「LINE娛樂城」時,往往缺乏一個能真正抵禦詐騙風險與資訊落差的保護傘。為此,台灣領先的獨立娛樂媒體——「賴遊情報站」(iCasino.tw)強勢登場,以「安全神盾」為品牌核心理念,正式推出業界最完整的「LINE娛樂指南」,致力於成為台灣玩家在數位娛樂世界中最堅實的防護罩。 20 大平台實測里程碑,嚴密過濾黑網風險 為了打造這面無堅不摧的安全神盾,「賴遊情報站」的專業團隊制定了嚴苛的平台審核計畫。目前,團隊已成功完成超過 20 家熱門 LINE 娛樂城的深度評測。每一份評估報告皆來自團隊親自註冊、實際儲值與遊玩的真實體驗,嚴格檢視各平台的系統穩定度與信譽。透過這些具體的實測數據,玩家能輕鬆避開潛在的網路地雷,安心享受遊戲樂趣。 圖:賴遊情報站,歡迎玩家一起加入、體驗前所未有的娛樂震撼!(圖/賴遊情報站提供) 極致流暢的用戶體驗,落實國際級信任標準 除了扎實的內容,「賴遊情報站」更在網站的底層技術與視覺體驗上痛下苦工。網站採用了極度優化的流暢架構,確保玩家在瀏覽評測數據時,能享有毫秒級的載入速度與直覺的閱讀體驗。同時,網站全面落實Google搜尋引擎高度重視的 E-E-A-T 內容標準,公開透明地展示「關於我們」、「關於作者」,並具備完備的「服務條款與免責聲明」及「隱私權保護政策」,從裡到外展現高度的專業性與權威度。 倡導負責任博彩,建立永續娛樂生態 作為守護玩家的防護盾,「賴遊情報站」不僅防範外部風險,更重視玩家的內在身心健康。網站特設「負責任博彩」專區,積極宣導理性娛樂、資金控管等正確觀念,期盼在提供優質 LINE 娛樂城選擇的同時,也能協助玩家維持健康的生活平衡,共同推動台灣線上娛樂圈的正向發展。 想要體驗極致流暢的遊戲體驗,並獲取由神盾級標準嚴格把關的評測報告,請立即造訪賴遊情報站:https://icasino.tw/ 【避免沉迷遊戲,勿利用遊戲賭博】